Confira aqui os casos de sucesso realizados pela Risoclin e veja como a odontologia pode transformar a vida das pessoas!
Arraste a barra central inseridas nas imagens para a direita e esquerda para visualização do antes e depois.
Prótese Sobre Implante
Através dos materiais utilizados hoje em dia, consegue-se com a Prótese Dentária, devolver com muita eficiência tanto a função como a estética, com um índice de satisfação muito grande daqueles que necessitam repor estruturas dentárias ausentes.
Lentes de Contato e Plástica Periodontal
Com a nova visão clínica do sorriso, onde se prioriza a harmonia entre dentes e tecido gengival aliado a uma opção conservadora e promissora na recuperação de sorrisos, as lentes de contato odontológicas.
Prótese Total
As próteses unitárias são aquelas utilizadas sobre estruturas dentárias com comprometimento estrutural, onde estaria impossibilitado a restauração convencional.
Restaurações em Resina
Restaurações em Resina
Coroas Cerâmicas
Coroas Cerâmicas
Lentes de Contato Odontológicas
Lentes de Contato Odontológicas
Lentes de Contato Odontológicas
Lentes de Contato Odontológicas
Fragmento Cerâmico / Lentes de Contato
Fragmento Cerâmico / Lentes de Contato
Lentes de Contato Odontológicas
Lentes de Contato Odontológicas
Implantes Dentários
O Implante proporciona conforto e eficiência na mastigação e na fala de forma bastante similar aos dentes naturais, além de devolver beleza ao sorriso e qualidade à saúde bucal.
Restaurações em resina
Restaurações em resina
Restaurações em Resina e Clareamento
Restaurações em Resina e Clareamento
Restaurações em Resina
Restaurações em Resina e Clareamento
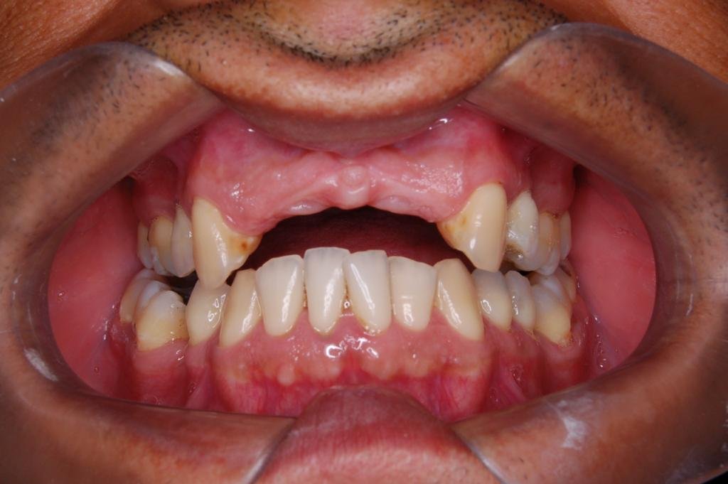
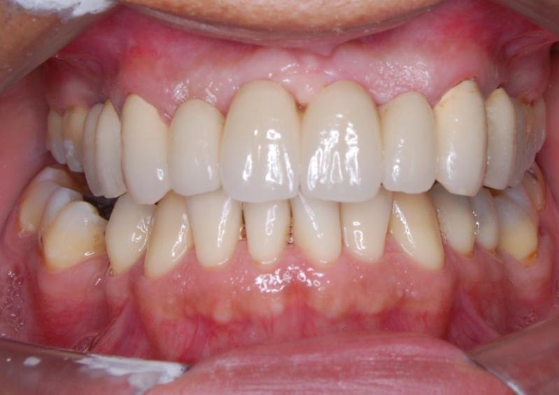
Prótese Total
Prótese Total
Prótese Total e Periodontia
Prótese Total e Periodontia
Prótese Fixa
Prótese Fixa
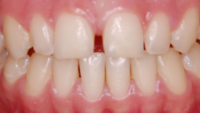
Fechamento de diastema com resina
Fechamento de diastema com resina
Lentes de Contato Odontológicas
Lentes de Contato Odontológicas
Lentes de Contato Odontológicas
Lentes de Contato Odontológicas
Lentes de Contato Odontológicas
Lentes de Contato Odontológicas
Moacir Pires
R. Casemiro P. Azevedo, 508, Centro,
Brumado-BA Cep: 46100-017
contato@moacirpires.com.br
+55 77 3441 3181
Moacir Pires. Todos os direitos reservados.
Moacir Pires. Todos os direitos reservados.
Usamos cookies em nosso site para fornecer a experiência mais relevante, lembrando suas preferências e visitas repetidas. Ao clicar em “ACEITAR TODOS”, você concorda com o uso de TODOS os cookies. No entanto, você pode visitar "Configurações de cookies" para fornecer um consentimento controlado.
Este site usa cookies para melhorar a sua experiência enquanto navega pelo site. Destes, os cookies que são categorizados como necessários são armazenados no seu navegador, pois são essenciais para o funcionamento das funcionalidades básicas do site. Também usamos cookies de terceiros que nos ajudam a analisar e entender como você usa este site. Esses cookies serão armazenados em seu navegador apenas com o seu consentimento. Você também tem a opção de cancelar esses cookies. Porém, a desativação de alguns desses cookies pode afetar sua experiência de navegação.
Os cookies necessários são absolutamente essenciais para o funcionamento adequado do site. Esses cookies garantem funcionalidades básicas e recursos de segurança do site, de forma anônima.
Cookie
Duração
Descrição
cookielawinfo-checkbox-analytics
11 months
Este cookie é definido pelo plug-in GDPR Cookie Consent. O cookie é usado para armazenar o consentimento do usuário para os cookies na categoria "Analytics".
cookielawinfo-checkbox-functional
11 months
O cookie é definido pelo consentimento do cookie GDPR para registrar o consentimento do usuário para os cookies na categoria "Funcional".
cookielawinfo-checkbox-necessary
11 months
Este cookie é definido pelo plug-in GDPR Cookie Consent. Os cookies são usados para armazenar o consentimento do usuário para os cookies na categoria "Necessário".
cookielawinfo-checkbox-others
11 months
Este cookie é definido pelo plug-in GDPR Cookie Consent. O cookie é usado para armazenar o consentimento do usuário para os cookies na categoria "Outros.
cookielawinfo-checkbox-performance
11 months
Este cookie é definido pelo plug-in GDPR Cookie Consent. O cookie é usado para armazenar o consentimento do usuário para os cookies na categoria "Desempenho".
viewed_cookie_policy
11 months
O cookie é definido pelo plug-in GDPR Cookie Consent e é usado para armazenar se o usuário consentiu ou não com o uso de cookies. Ele não armazena nenhum dado pessoal.