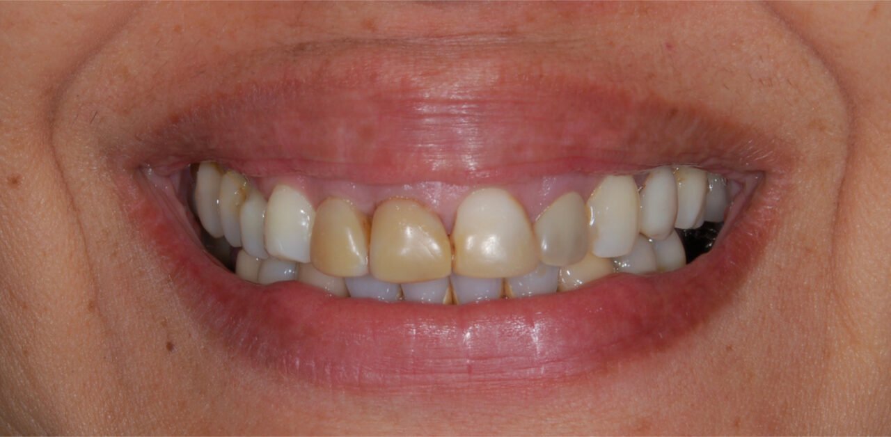
Lentes de contato em cerâmica

10 laminados em cerâmica no arco superior proporcionando harmonia no sorriso e melhora da autoestima
https://moacirpires.com.br/wp-content/uploads/2022/03/logo-rodape.png

Moacir Pires
R. Casemiro P. Azevedo, 508, Centro,
Brumado-BA Cep: 46100-017
contato@moacirpires.com.br
+55 77 3441 3181

https://moacirpires.com.br/wp-content/uploads/2020/08/logo-preto-640x121.png

Moacir Pires. Todos os direitos reservados.

Moacir Pires. Todos os direitos reservados.